Intoxicação por Metanol: aumento de casos, fisiopatologia e abordagem clínica

Conteúdo / Medicina de Emergência / Intoxicação por Metanol: aumento de casos, fisiopatologia e abordagem clínica

Nos últimos meses, São Paulo registrou um alerta importante: casos de intoxicação por metanol ligados ao consumo de bebidas alcoólicas adulteradas em bares e festas. Em menos de um mês, nove pessoas evoluíram com quadros graves, o que foge do perfil clássico — antes mais associado à ingestão deliberada de combustíveis em contextos de abuso de substâncias.

Esse cenário recoloca em pauta um tema crucial para médicos e estudantes de medicina: como reconhecer, diagnosticar e manejar a intoxicação por metanol?

Fisiopatologia: o perigo está no metabolismo

O metanol é rapidamente absorvido no trato gastrointestinal. O problema não está na molécula em si, mas no que o fígado faz com ela:

  • Pela ação da álcool desidrogenase, o metanol é convertido em formaldeído e, depois, em ácido fórmico.
  • Esse metabólito acumula-se lentamente, inibindo o complexo IV da cadeia respiratória mitocondrial.
  • O resultado é hipóxia celular e acidose metabólica de ânion gap aumentado, com especial acometimento de tecidos de alta demanda metabólica.

O nervo óptico e a retina são os mais vulneráveis, explicando os distúrbios visuais característicos. Casos graves podem evoluir ainda com necrose dos núcleos da base, pancreatite e lesão renal aguda.

Manifestações clínicas

A gravidade depende da dose, do tempo de ingestão e da presença de etanol concomitante (que compete pela mesma enzima).

  • Período de latência (12 a 24h): paciente pode estar assintomático ou com sinais inespecíficos, como embriaguez discreta.
  • Após latência: sintomas gastrointestinais (náuseas, vômitos, dor abdominal) e neurológicos (cefaleia, tontura, confusão, letargia, coma).
  • Acidose metabólica de ânion GAP aumentado: respiração de Kussmaul surge como compensação.
  • Comprometimento ocular: visão borrada, escotomas, fotofobia, halos luminosos e, ao exame, papiledema e hiperemia de disco óptico. Sem tratamento, pode evoluir para cegueira irreversível.
  • Casos graves: convulsões, coma, falência respiratória e choque circulatório.

Diagnóstico

Na prática, a dosagem sérica de metanol ou ácido fórmico nem sempre está disponível, mas sempre que possível deve ser solicitada. O raciocínio clínico deve se apoiar em:

  • Gasometria: acidose metabólica grave (pH < 7,2, HCO₃⁻ reduzido) e ânion gap aumentado.
  • Gap osmolar: Atenção! Apesar de ser um clássico, o GAP osmolar encontra-se elevado apenas nas fases iniciais (>25–50 mOsm/kg H₂O).
  • Exames complementares: lactato elevado (secundário à acidose e hipoxemia) e sinais de lesão renal (aumento de ureia, creatinina e presença de distúrbios hidroeletrolíticos)
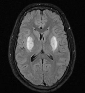
  • Exames de imagem (Ressonância e tomografia de crânio): Não são feitos de rotina, mas caso sejam feitos para avaliação do rebaixamento do nível de consciência é possível identificar uma hiperintensidade do putâmen por necrose hemorrágica, além de acometimento do quiasma óptico.
Fonte: Radiopaedia 

É essencial diferenciar de outras causas de acidose metabólica, como intoxicação por etilenoglicol, cetoacidose diabética ou alcoólica e sepse.

Manejo clínico

O tratamento deve ser iniciado o quanto antes:

  • Monitorização em leito de UTI: suporte ventilatório e hemodinâmico quando necessário.
  • Antídotos: Fomepizol (inibidor da álcool desidrogenase) é o ideal, mas indisponível no Brasil; Etanol endovenoso ou via oral (compete com o metanol pela ADH, reduzindo a formação de ácido fórmico): pode ser usado como alternativa, exigindo monitorização intensiva.
  • Correção da acidose: bicarbonato de sódio EV.
  • Hemodiálise: remove metanol e ácido fórmico, além de corrigir acidose. Indicada em casos graves, com coma, convulsões, comprometimento visual novo ou importante (amaurose), insuficiência renal, acidose grave ou persistente (pH < 7,15; Ânion GAP > 24), distúrbios hidroeletrolíticos graves ou níveis séricos de metanol > 50 mg/dL (algumas referências toleram níveis de até 60-70, mas a partir de 50 já devemos nos atentar para o alto risco de desfecho desfavorável).
  • Terapia adjuvante: ácido fólico/folínico, para acelerar a conversão do formiato em CO₂ e H₂O.

Conclusão

O aumento recente de intoxicações por metanol reforça a importância do reconhecimento precoce. Alterações visuais associadas a acidose metabólica de ânion gap aumentado devem sempre levantar suspeita.

Para médicos e estudantes, este é um diagnóstico de alto impacto: a rapidez na conduta pode significar preservar não só a vida, mas também a visão do paciente.

Se você quer continuar aprofundando seus conhecimentos, acompanhe o blog da Medway e não perca nossas atualizações.

Também aproveite para conferir um post feito pela Ana, professora de Clínica Médica da Medway sobre o assunto:

É médico e quer contribuir para o blog da Medway?

Cadastre-se
Ana Karoline Bittencourt Alves

Ana Karoline Bittencourt Alves

Professora da Medway. Formada pela Universidade Federal de Santa Catarina (UFSC), com Residência em Clínica Médica (2019-2021) e Medicina Intensiva (2022-2025) pela Universidade de São Paulo (USP - SP). Siga no Instagram: @anakabittencourt