O pólipo endometrial é uma das alterações ginecológicas mais frequentes na prática clínica. Embora na maioria das vezes seja uma lesão benigna, sua presença pode gerar sintomas importantes, como sangramento uterino anormal, infertilidade e desconforto pélvico.
Por isso, compreender quando tratar e qual a melhor abordagem terapêutica é essencial para qualquer estudante ou profissional da área médica.
O pólipo endometrial é uma proliferação focal da mucosa que reveste a cavidade endometrial. Ele é formado por glândulas endometriais, estroma e vasos sanguíneos, projetando-se para dentro da cavidade.
Pode ser:
Sua prevalência aumenta com a idade, especialmente após os 40 anos, e está associada a fatores como obesidade, uso de tamoxifeno, hiperestrogenismo e anovulação crônica.
Embora muitos pólipos sejam assintomáticos, eles representam uma causa frequente de sangramento uterino anormal tanto no menacme quanto na pós-menopausa.
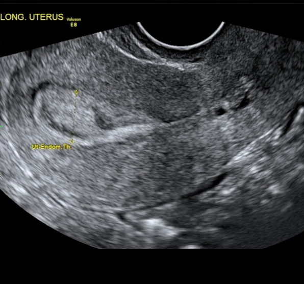
O diagnóstico inicial geralmente é suspeitado por exames de imagem, sendo os mais utilizados:



Fonte: IPGO Medicina da Reprodução (https://ipgo.com.br/as-causas-de-infertilidade-na-mulher-e-os-exames-para-o-diagnostico/)
Entre esses métodos, a histeroscopia é considerada o padrão-ouro, pois permite visualizar diretamente a lesão e, se necessário, já realizar sua remoção no mesmo ato.
Essa é a pergunta central quando nos deparamos com esse achado.
Nem todo pólipo precisa obrigatoriamente ser removido. A decisão terapêutica deve levar em consideração três aspectos fundamentais:
Vamos analisar cada um deles.
O principal sintoma relacionado ao pólipo endometrial é o sangramento uterino anormal, que pode se manifestar como:
De acordo com diretrizes da ACOG e da FEBRASGO, a presença de sangramento associado ao pólipo é uma das principais indicações para sua remoção.
Isso ocorre por dois motivos:
Portanto, pólipo endometrial sintomático deve ser tratado, independentemente do tamanho.
O tamanho é outro fator determinante na conduta.
Estudos mostram que pólipos maiores que 1,5 cm apresentam maior risco de hiperplasia e malignização. Por isso, a maioria das sociedades médicas recomenda:
A transformação maligna do pólipo endometrial é rara, ocorrendo em menos de 3% dos casos. Entretanto, alguns fatores aumentam esse risco:
Podemos resumir as principais indicações de remoção do pólipo endometrial:
Não há, até o momento, tratamento medicamentoso comprovadamente eficaz para eliminar pólipos endometriais.
Hormonioterapia, como progestagênios ou anticoncepcionais, pode até melhorar sintomas de sangramento, mas não remove a lesão estrutural.
Por isso, o tratamento definitivo do pólipo endometrial é cirúrgico.
Em situações bem selecionadas, é possível adotar conduta expectante, como:
Nesses casos, deve-se realizar seguimento com ultrassonografia periódica e reavaliar a necessidade de intervenção se surgirem sintomas ou mudanças nas características do pólipo avaliado.
A histeroscopia cirúrgica é considerada o método de escolha para o tratamento do pólipo endometrial.
Suas principais vantagens são:

O princípio técnico é simples:
A ressecção deve ser sempre direcionada da região fúndica em direção ao colo uterino, evitando movimentos bruscos ou caudo-craniais que possam levar à perfuração.
A polipectomia geralmente é realizada em centro cirúrgico com sedação/anestesia geral, especialmente para aqueles pólipos que apresentam base séssil ou é muito volumoso.
A recuperação costuma ser rápida, com retorno às atividades habituais em 24 a 48 horas.
Sintomas leves podem ocorrer, como cólicas discretas, pequeno sangramento vaginal e corrimento serossanguinolento. Tais sintomas devem ser controlados com analgésicos e anti-inflamatórios simples.
É sempre importante também orientar a paciente quanto a abstinência sexual após o procedimento, geralmente por 7 a 14 dias.
Complicações são raras, mas podem incluir infecção, perfuração uterina e sangramento mais intenso.
Todo pólipo removido deve obrigatoriamente ser enviado para análise histológica.
Esse é um ponto crucial no tratamento.
Mesmo que a lesão tenha aparência benigna à histeroscopia, somente o exame anatomopatológico pode confirmar o diagnóstico, excluir hiperplasia e detectar focos de carcinoma.
Isso é especialmente relevante em pacientes pós-menopausa ou com sangramento uterino.
Um aspecto importante é a relação entre pólipo e dificuldade para engravidar.
Embora os mecanismos não sejam totalmente claros, acredita-se que o pólipo possa dificultar a implantação embrionária através de mecanismos mecânicos e inflamatórios, reduzindo a receptividade endometrial. Por isso, muitas diretrizes recomendam a remoção de pólipos em mulheres com infertilidade ou que serão submetidas a técnicas de reprodução assistida.
Uma curiosidade é que muitos profissionais da área têm preferência pelo não uso de energia mono ou bipolar na polipectomia, justamente visando a preservação da arquitetura endometrial.
O tratamento do pólipo endometrial deve sempre ser individualizado, levando em conta:
A histeroscopia com polipectomia é o método mais seguro e eficaz, sendo considerada padrão-ouro pela ACOG e pela FEBRASGO.
Para o estudante de medicina, é fundamental compreender que:
Com conhecimento técnico e boa avaliação clínica, é possível oferecer às pacientes um manejo adequado, seguro e baseado nas melhores evidências disponíveis.
Clark TJ et al. Hysteroscopic management of endometrial polyps: evidence and guidelines.
Graduada em Medicina pela PUC Campinas. Realizou a residência médica em Ginecologia e Obstetrícia pela mesma instituição e se subespecializou em Medicina Fetal pela USP-RP.