Fala, galera! Quem está se preparando para o R+ de Ginecologia e Obstetrícia já sabe: a prova é cheia de casos que exigem atenção aos detalhes, domínio dos protocolos e, principalmente, capacidade de aplicar o conhecimento na prática. É por isso que hoje vamos trazer questões de R+ de Ginecologia e Obstetrícia comentadas, para você treinar de forma direcionada e entender como a banca cobra os principais temas.
Então bora para a prática? Confira a seguir 5 questões comentadas de R+ de GO para turbinar sua rotina de estudos!
LS, 37 anos, G2 P1, idade gestacional de 35 semanas. Possui história de hipertensão arterial crônica, epilepsia e uma lombociatalgia relacionada à compressão de vértebras lombares que apresentou piora progressiva durante a gravidez. Fez uso de medicamentos durante toda a gestação, para controle dessas comorbidades. Realizou ecografia obstétrica hoje, que evidencia fechamento do ducto arterioso e hipertensão pulmonar fetal. Entre os medicamentos em uso, qual deles apresenta relação com esse achado ecográfico?
A) Captopril.
B) Carbamazepina.
C) Ibuprofeno.
D) Hidantoína.
Vamos analisar este caso interessante que toca em um ponto crucial da farmacologia na gestação. Temos uma paciente de 37 anos, na 35ª semana gestacional, com múltiplas comorbidades: hipertensão arterial crônica, epilepsia e lombociatalgia por compressão vertebral. A ecografia obstétrica revelou um achado preocupante: fechamento do ducto arterioso com hipertensão pulmonar fetal.
O ducto arterioso é uma estrutura fundamental na circulação fetal. Ele permite que o sangue desvie dos pulmões não-funcionais durante a vida intrauterina, conectando a artéria pulmonar à aorta descendente. Este ducto deve permanecer aberto durante toda a gestação e se fecha naturalmente após o nascimento, quando a respiração pulmonar é estabelecida. Um fechamento prematuro intraútero pode levar a uma sobrecarga do ventrículo direito e consequente hipertensão pulmonar fetal, podendo resultar em insuficiência cardíaca direita e comprometimento fetal grave.
Alternativa A
O captopril é um inibidor da enzima conversora de angiotensina (iECA) utilizado no tratamento da hipertensão arterial. Esse medicamento é contraindicado durante a gestação, especialmente no segundo e terceiro trimestres, por estar associado a oligoidrâmnio, insuficiência renal fetal/neonatal, hipoplasia pulmonar, hipotensão neonatal e até mesmo morte fetal. No entanto, os iECAs não estão associados ao fechamento prematuro do ducto arterioso. Portanto, esta alternativa está incorreta.
Alternativa B
A carbamazepina é um anticonvulsivante utilizado no tratamento da epilepsia. Embora seu uso durante a gestação possa estar associado a um risco aumentado de malformações congênitas (especialmente defeitos do tubo neural, dismorfismo facial e anomalias cardiovasculares), não há evidência de que cause fechamento prematuro do ducto arterioso. Esta alternativa está incorreta.
Alternativa C
O ibuprofeno é um anti-inflamatório não esteroidal (AINE) que poderia ser utilizado para tratar a lombociatalgia da paciente. Os AINEs atuam inibindo as enzimas ciclo-oxigenases (COX-1 e COX-2), reduzindo a síntese de prostaglandinas. As prostaglandinas são fundamentais para manter o ducto arterioso aberto durante a vida fetal. Portanto, o uso de AINEs, especialmente no terceiro trimestre de gestação, pode causar constrição ou fechamento prematuro do ducto arterioso e subsequente hipertensão pulmonar fetal. Esta é a alternativa correta.
Alternativa D
A hidantoína (fenitoína) é outro anticonvulsivante usado no tratamento da epilepsia. Seu uso durante a gestação está associado à síndrome fetal da hidantoína, caracterizada por dismorfismo facial, hipoplasia digital, retardo de crescimento e deficiência intelectual. No entanto, não está associada ao fechamento prematuro do ducto arterioso. Esta alternativa está incorreta.
Visão do aprovado
Ao estudar farmacologia na gestação, é crucial criar uma tabela mental com os principais medicamentos contraindicados e seus efeitos específicos. Neste caso, o ponto chave é compreender o mecanismo de ação dos AINEs e sua relação com o ducto arterioso.
Um mnemônico útil: “PADE” (Prostaglandina Abre o Ducto, Evite AINEs). As prostaglandinas mantêm o ducto arterioso aberto; os AINEs inibem as prostaglandinas, portanto podem fechar o ducto.
Fique atento: essa questão poderia enganar quem conhece apenas superficialmente os efeitos dos medicamentos na gestação. Os anticonvulsivantes têm efeitos teratogênicos importantes, e os iECAs são absolutamente contraindicados, mas nenhum deles provoca o fechamento do ducto arterioso.
A contraindicação de AINEs é mais significativa a partir da 30ª semana de gestação, mas para a segurança materna e fetal, recomenda-se evitar seu uso durante todo o terceiro trimestre. Em casos de dor lombar na gestação, preferem-se medidas não farmacológicas (fisioterapia, exercícios específicos) ou analgésicos como paracetamol.
Este tema se conecta com outros tópicos como fisiologia da circulação fetal, adaptações neonatais e teratogênese medicamentosa. Vale a pena revisar esses assuntos de forma integrada para uma compreensão mais completa.
Caso clínico para responder às questões de 34 a 36.
Uma paciente de 32 anos de idade, G1, compareceu à primeira consulta de pré-natal com 15 semanas de gestação. Tem história de conização há 2 anos por lesão de alto grau no colo uterino e miastenia grave. Faz uso de prednisona e azatioprina para controle da doença.
Assinale a alternativa que apresenta a melhor opção para manejo dessa paciente.
A) Realizar cerclagem eletiva, indicada em razão da história clínica.
B) Iniciar progesterona e avaliar o comprimento do colo uterino entre 22 e 24 semanas; se medir menos do que 25 mm, realizar cerclagem.
C) Iniciar progesterona e avaliar o comprimento de colo uterino entre 22 e 24 semanas; se estiver menor do que 25 mm, inserir pessário.
D) Considerar a paciente de baixo risco para trabalho de parto prematuro e fazer seguimento habitual de pré-natal.
E) Realizar ultrassonografia transvaginal a partir de 14 semanas, com intervalo entre 1 e 2 semanas; caso o colo esteja menor do que 25 mm, proceder à cerclagem.
A questão nos apresenta um caso clínico de uma gestante de 32 anos, primigesta (G1), que chega para sua primeira consulta de pré-natal com 15 semanas de gestação. Esta paciente tem dois antecedentes importantes: realizou conização há 2 anos por lesão de alto grau no colo uterino e possui diagnóstico de miastenia grave, em tratamento com prednisona e azatioprina.
O tema central desta questão é o manejo adequado de uma gestante com fatores de risco para parto prematuro, particularmente o histórico de conização cervical. Esta é uma situação bastante comum em provas de residência, pois avalia conhecimentos sobre prevenção de parto prematuro, que é uma das principais causas de morbimortalidade neonatal.
A conização é um procedimento que remove uma porção cônica do colo uterino para tratamento de lesões precursoras do câncer cervical. Por alterar a anatomia do colo, pode comprometer sua competência durante a gestação, aumentando o risco de parto prematuro devido à insuficiência istmocervical. Compreender as estratégias para identificar e manejar este risco é fundamental na prática obstétrica.
Alternativa A
Esta alternativa está incorreta. A cerclagem eletiva (preventiva) é indicada principalmente para pacientes com histórico de três ou mais perdas gestacionais no segundo trimestre ou partos prematuros em que se comprovou incompetência istmocervical. Apenas a história de conização prévia, sem outros fatores, não é indicação absoluta para cerclagem eletiva. As diretrizes atuais recomendam monitoramento do colo uterino antes de indicar intervenções mais invasivas.
Alternativa B
Esta opção está incorreta. Embora o uso de progesterona seja uma estratégia válida para prevenção de parto prematuro em pacientes de risco, o momento proposto para avaliação do colo uterino (entre 22-24 semanas) é tardio. Em pacientes com história de conização, a vigilância do comprimento cervical deve iniciar mais precocemente. Além disso, realizar cerclagem após 24 semanas tem eficácia limitada e maiores riscos associados.
Alternativa C
Esta alternativa também está incorreta. O uso de pessário cervical é uma alternativa à cerclagem em casos de colo curto, mas os mesmos problemas da alternativa B se aplicam aqui: o início tardio da monitorização (22-24 semanas) não é adequado para pacientes com risco aumentado por conização prévia, que necessitam de vigilância mais precoce do comprimento cervical.
Alternativa D
Esta opção está incorreta e representa um erro grave de conduta. Pacientes com história de conização têm risco aumentado de parto prematuro, com risco aproximadamente duplicado em relação à população geral, especialmente se a conização removeu grande quantidade de tecido. Considerar esta paciente como de baixo risco seria negligenciar um fator de risco significativo e bem estabelecido na literatura.
Alternativa E
Esta é a alternativa correta. Reconhece o risco aumentado decorrente da conização prévia e propõe uma abordagem adequada: iniciar a vigilância ultrassonográfica transvaginal precocemente (a partir de 14 semanas), com avaliações frequentes (intervalos de 1-2 semanas). O ponto de corte de 25mm para comprimento cervical é considerado um valor validado para indicar risco aumentado de parto prematuro. Caso seja detectado encurtamento cervical, a cerclagem é indicada como intervenção apropriada. Esta conduta é baseada em evidências e segue as recomendações atuais para gestantes com conização prévia.
Visão do aprovado
Para acertar este tipo de questão, é fundamental ter clareza sobre os fatores de risco para parto prematuro e as indicações precisas de cada intervenção preventiva. Recomendo estudar as seguintes estratégias:
1. Memorize os principais fatores de risco para parto prematuro utilizando o acrônimo “PREMATURES”:
2. Conheça as indicações de cerclagem cervical:
3. Sobre o timing das intervenções: uma armadilha comum em provas é confundir o momento ideal para iniciar a vigilância e realizar intervenções. Em gestantes com conização prévia, a vigilância deve começar precocemente (14-16 semanas) e não tardiamente (após 22 semanas).
Um erro frequente em provas é subestimar o risco associado à conização cervical ou superestimar indicando cerclagem profilática para todas as pacientes com este histórico, quando a conduta baseada em evidências é o monitoramento cervical seriado.
Lembre-se também que pacientes com miastenia grave, embora necessitem de cuidados específicos relativos à doença durante a gestação, não têm indicação diferente quanto ao manejo da prevenção do parto prematuro.
Vale ressaltar que o tema abordado (prevenção de parto prematuro) frequentemente se conecta com outros tópicos importantes como diagnóstico de trabalho de parto prematuro, tocólise, corticoterapia para maturação pulmonar e neuroprotecão fetal, sendo uma área bastante cobrada em provas.
Paciente, 30 anos, é admitida com um quadro de sangramento intenso por via vaginal, que iniciou há cerca de duas horas. Foram excluídas a hipótese de gestação após teste negativo e também lesões em canal vaginal. Ao exame, apresenta PA 90×60 MmHg, FC 100 bpm e especular sangramento ativo por colo uterino. Hemograma Hb de 11,5 mg/dl e HT 35%. Diante desse caso, qual é a melhor conduta para o tratamento do sangramento agudo?
A) Realizar transfusão de concentrado de hemácias e AINEs para controle do sangramento.
B) Prescrever anticoncepcional oral combinado contínuo, uma vez ao dia, por 60 dias.
C) Realizar acetato de medroxiprogesterona 150 mg intramuscular a cada 90 dias.
D) Realizar ácido tranexâmico, endovenoso, a cada 8 horas.
E) Caso a paciente não deseje mais filhos, indica-se histerectomia total.
Paciente jovem, 30 anos, chega ao pronto-socorro com sangramento uterino agudo intenso, sem sinais de gravidez ou lesão vaginal. Os sinais vitais PA 90×60 mmHg) e frequência cardíaca limítrofe (FC 100 bpm). O sangramento é proveniente do colo uterino, e o hemograma mostra Hb de 11,5 g/dL, o que ainda não configura anemia grave, mas exige monitoramento.
O quadro é compatível com Sangramento Uterino Anormal (SUA) agudo, que pode comprometer a estabilidade hemodinâmica e requer tratamento imediato, antes mesmo da definição etiológica. O objetivo inicial é controlar o sangramento e estabilizar a paciente. As principais opções terapêuticas envolvem medidas antifibrinolíticas, hormonais ou procedimentos, dependendo da gravidade e do desejo reprodutivo.
Alternativa A
A paciente apresenta sangramento importante, mas não há indicação de transfusão no momento, já que os níveis de Hb estão estáveis (11,5 g/dL). Além disso, os AINEs não são a primeira escolha em casos agudos como esse.
Alternativa B
Os ACOs combinados podem ser úteis para controle de sangramento uterino anormal no período de manutenção. Em casos agudos, o protocolo é utilizar doses altas e em esquema intensivo (3-4 vezes ao dia por alguns dias). A administração uma vez ao dia não é suficiente para conter sangramento ativo e intenso como o da paciente.
Alternativa C
Este é um método contraceptivo injetável com ação prolongada, indicado para contracepção de longo prazo, não para controle agudo de sangramento. Sua ação é lenta, e não há resposta imediata em casos emergenciais.
Alternativa D
Isso! O ácido tranexâmico é um antifibrinolítico que age inibindo a degradação do coágulo, sendo eficaz no controle do sangramento agudo. Ele pode ser administrado por via intravenosa e tem ação rápida, sendo recomendado para controle de SUA agudo com sangramento intenso. A dose usual é de 1g EV a cada 8 horas, até 4 doses/dia.
Alternativa E
A histerectomia é um tratamento definitivo e invasivo, reservado para falha terapêutica ou casos muito refratários, geralmente em mulheres com instabilidade grave e sem desejo reprodutivo. No contexto atual, não é a primeira linha terapêutica.
Visão do aprovado
Vamos revisar as possíveis hipóteses diagnósticas para SUA

Gestante com 12 semanas de gestação chega à emergência com quadro confusional progressivo de início há uma semana. Há dois dias, com queixa de diplopia e dificuldade de marcha. Familiar informa que esteve muito nauseada e com vômitos nos últimos meses. Nega febre ou outros sintomas sistêmicos. Ao exame, está emagrecida, marcha com aumento da base de sustentação, desequilíbrio, discreta paralisia do músculo reto lateral E e nistagmo na mirada horizontal para ambos os lados. Entre as possibilidades diagnósticas listadas abaixo, assinalar a mais provável:
A) Encefalite por herpes vírus.
B) Encefalopatia de Wernicke.
C) Encefalite imunomediada.
D) Deficiência de piridoxina.
A questão traz um caso clínico muito interessante e bastante cobrado nas provas de residência: uma gestante no primeiro trimestre apresentando sintomas neurológicos. Precisamos analisar cuidadosamente a evolução temporal dos sintomas, o contexto gestacional e os achados do exame físico para chegar ao diagnóstico correto.
Estamos diante de uma paciente com 12 semanas de gestação que desenvolveu um quadro confusional progressivo, diplopia, dificuldade de marcha, associado a história prévia de náuseas e vômitos intensos. O exame físico revela emagrecimento, ataxia (marcha com aumento da base de sustentação e desequilíbrio), oftalmoplegia (paralisia do músculo reto lateral) e nistagmo.
Este conjunto de sinais e sintomas forma um quadro neurológico clássico que precisa ser reconhecido de imediato pelo médico bem preparado, especialmente no contexto de má nutrição provocada por vômitos intensos durante a gestação.
Alternativa A
A encefalite herpética caracteriza-se por febre alta, cefaleia intensa, alteração do comportamento e crises convulsivas. Embora cause confusão mental, a ausência de febre neste caso torna esse diagnóstico improvável. Além disso, a encefalite herpética geralmente apresenta envolvimento preferencial dos lobos temporais, causando mais déficits focais, afasia e convulsões, não explicando bem a tríade neurológica apresentada pela paciente (confusão, oftalmoplegia e ataxia).
Alternativa B
Esta é a alternativa correta. A Encefalopatia de Wernicke é causada por deficiência de tiamina (vitamina B1) e apresenta classicamente a tríade: confusão mental, oftalmoplegia e ataxia – exatamente o que vemos neste caso. A gestante apresenta um quadro de hiperemese gravídica (náuseas e vômitos intensos na gestação), condição que predispõe à desnutrição e consequente déficit vitamínico. Os achados neurológicos são típicos: nistagmo, paralisia do músculo reto lateral e marcha atáxica com aumento da base de sustentação. O quadro confusional progressivo completa a tríade clássica.
Alternativa C
As encefalites imunomediadas (como a encefalite autoimune anti-NMDA) podem ocorrer durante a gestação, mas geralmente apresentam manifestações psiquiátricas mais proeminentes, movimentos anormais e disautonomia. Não explicam bem a oftalmoplegia específica nem têm relação direta com quadro prolongado de vômitos e desnutrição. Além disso, geralmente têm evolução mais insidiosa e outros sintomas sistêmicos associados.
Alternativa D
A deficiência de piridoxina (vitamina B6) pode ocorrer na gestação e até ser exacerbada pela hiperemese gravídica, porém suas manifestações são principalmente neuropatia periférica (com parestesias e dor), anemia e, em casos graves, convulsões. Não provoca a tríade neurológica vista na Encefalopatia de Wernicke, especialmente não causa oftalmoplegia nem nistagmo. A deficiência de B6 não explica adequadamente o quadro clínico apresentado.
Visão do aprovado
Para acertar questões como esta, é fundamental conhecer a tríade clássica da Encefalopatia de Wernicke: confusão mental, oftalmoplegia e ataxia. Essa tríade é muito cobrada em provas e frequentemente apresentada em contextos clínicos específicos, como alcoolismo crônico, desnutrição grave e hiperemese gravídica.
Preste atenção especial na associação entre sintomas neurológicos e estados de má nutrição. A informação sobre “náuseas e vômitos nos últimos meses” associada ao “emagrecimento” são pistas importantes que direcionam para deficiências vitamínicas, especialmente em gestantes.
Um erro comum é considerar apenas causas infecciosas ou imunológicas para quadros neurológicos agudos, esquecendo-se das causas metabólicas e nutricionais. Note que a ausência de febre já é um indício contra processos infecciosos como encefalite herpética.
Vale lembrar que na prática clínica, a Encefalopatia de Wernicke é uma emergência médica, e o tratamento com tiamina parenteral deve ser instituído imediatamente, antes mesmo da confirmação diagnóstica, pois o atraso pode levar a sequelas neurológicas permanentes ou evoluir para a Síndrome de Korsakoff (caracterizada por amnésia anterógrada e confabulação).
Ao estudar este tópico, aproveite para revisar outras deficiências vitamínicas comuns na gestação:
Compare suas manifestações neurológicas para fixar melhor o conteúdo. Por fim, lembre-se que a hiperemese gravídica não é apenas um desconforto na gestação – pode levar a complicações graves como a vista nesta questão, além de distúrbios hidroeletrolíticos que também causam manifestações neurológicas.
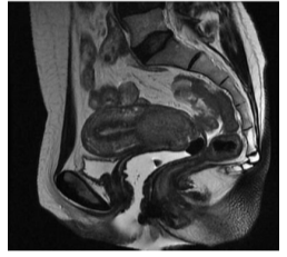
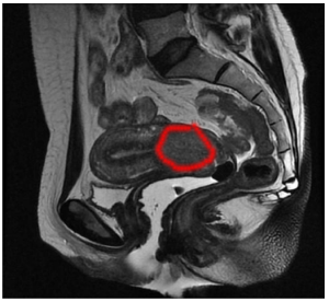
Paciente de 45 anos queixa-se de sangramento genital quase que diariamente há 1 ano. Refere também dor pélvica com irradiação lombar. Sem vida sexual ativa no momento. Antecedentes obstétricos: 2G 2P normais. Tabagista 1 maço dia. Ao exame especular observava-se o colo com orifício externo irregular e sem lesão macroscópica aparente na exocérvice. Ao toque retal os paramétrios estão livres. Exame de citologia cervico-vaginal com resultado compatível com lesão intra-epitelial de alto grau e biópsia do colo com diagnóstico de adenocarcinoma in situ. A figura representa o exame de ressonância magnética de pelve.
Qual é o procedimento de escolha para completar o diagnóstico?

A) Conização.
B) Colposcopia.
C) Curetagem uterina.
D) Biópsia endometrial.
Em resumo, temos uma paciente com sangramento genital e dor lombar, sintomas que devem chamar nossa atenção. Na nossa investigação, foi encontrada um achado de adenocarcinoma in situ, mas com exame físico do colo aparentemente normal. Mas se avaliamos a nossa ressonância, vemos uma lesão de dimensões razoáveis no colo uterino e se estendendo até para o corpo uterino, percebem? Veja na imagem a abaixo a lesão circundada em vermelho:

Portanto, temos uma dissociação entre o anatomopatológico, de uma neoplasia não invasiva, da imagem, que mostra uma lesão aumentada de tamanho e acometendo todo o colo do útero, e por que não também da clínica com dor lombar associada (possível sinal de doença mais avançada)?
Dessa forma, é imprescindível obtermos uma amostra tecidual que seja compatível com a nossa suspeita clínica, o que não temos até agora – e a principal opção para tal é a conização, que permite a retirada de uma amostra tecidual maior. Mesmo que não tivéssemos a ressonância, a conização para amostra tecidual completa seria essencial na condução desse caso.
Perceba que a conização pode ser utilizada tanto para tratamento de lesões pré-invasivas de colo, justamente como o carcinoma in situ, mas também para amostra de tecido adequada, em casos como este, e exclusão ou confirmação de doença invasiva, além da realização de imuno-histoquímica, como representado na imagem abaixo.

Na realidade, quando falamos de adenocarcinoma de colo, temos que ressaltar que esses tumores eventualmente crescem “para dentro”, sem ter aquela manifestação clínica clássica de lesão vegetante e ulcerada de colo clássica do carcinoma epidermoide do colo.
Afinal, a lesão do adenocarcinoma envolve mais as camadas glandulares, se originando geralmente na zona de transformação, com extensão contígua proximalmente ao canal endocervical – e portanto, não tão visível à avaliação colposcópica. As lesões também podem estar localizadas na parte alta do canal endocervical e envolver as porções mais profundas das fendas endocervicais.
Se estivéssemos diante de um adenocarcinoma in situ, o tratamento recomendado seria cirúrgico com histerectomia. No entanto, pela imagem, parece um tumor de tamanho maior que 4 cm, com invasão de paredes vaginais e paramétrios excluídos pelo exame físico.
Até que se prove o contrário, um tumor no estadio IB3, candidato à quimiorradioterapia. Veja como a interpretação dos exames e o raciocínio diagnóstico muda completamente o tratamento e prognóstico dessa paciente.
Alternativa A
A conização é o procedimento de escolha neste caso. para excisão em forma de cone do colo uterino, indicada quando há suspeita de lesão glandular (como o adenocarcinoma in situ), discrepância entre citologia e histologia, discrepância entre exames de imagem e histologia ou quando a lesão se estende para o canal endocervical. A conização permite uma avaliação histológica completa do colo, possibilitando excluir invasão e avaliar as margens da lesão. Além do papel diagnóstico, pode ser terapêutica se as margens estiverem livres. No caso de adenocarcinoma in situ, a conização é essencial para descartar microinvasão ou invasão franca, que alteraria completamente o manejo.
Alternativa B
A colposcopia é um exame que permite visualizar o colo uterino com aumento e identificar áreas suspeitas para biópsia dirigida. No entanto, neste caso, a paciente já tem uma biópsia com resultado de adenocarcinoma in situ – e provavelmente a colposcopia já deve ter sido realizada previamente para guiar essa biópsia inicial. Além disso, a colposcopia tem limitações na avaliação do canal endocervical e das lesões glandulares, que frequentemente não são visíveis colposcopicamente. Portanto, não é o próximo passo adequado na investigação.
Alternativa C
A curetagem uterina é um procedimento para avaliação da cavidade endometrial. Embora a paciente apresente sangramento, já temos um diagnóstico de lesão cervical (adenocarcinoma in situ). A curetagem não permitiria avaliar adequadamente o colo uterino e o canal endocervical, que são o foco da investigação neste momento. Além disso, a curetagem não substitui a conização para avaliação de lesões glandulares do colo.
Alternativa D
Semelhante à curetagem, a biópsia endometrial visa avaliar o endométrio, não o colo uterino. É um procedimento menos invasivo que a curetagem, mas igualmente inadequado para investigação de lesões cervicais. Embora o sangramento genital possa sugerir patologia endometrial, a prioridade neste caso é completar a investigação da lesão cervical já identificada (adenocarcinoma in situ), para a qual a biópsia endometrial não contribuiria significativamente.
Visão do aprovado
Um ponto importante quando falamos do adenocarcinoma de colo uterino é que esta lesão glandular tem características específicas que direcionam o manejo: tende a ser multifocal, pode estender-se para o canal endocervical e tem maior risco de progressão para câncer invasivo quando comparada às lesões escamosas, além de comportamento mais agressivo com maior risco de metástase linfática e menor resposta à radioterapia.
Claro que o adenocarcinoma fica em segundo plano quando comparado ao CEC de colo uterino, mas essa incidência vem aumentando progressivamente, e menos detectável pelos exames de rastreio atualmente disponíveis.
E aí, viu como a prática faz diferença? Resolver questões de R+ de Ginecologia e Obstetrícia é uma das formas mais completas de revisar conteúdos, identificar pontos de melhoria e se preparar de maneira estratégica para os processos seletivos. Esse treino aproxima você do estilo real das provas e ainda fortalece seu raciocínio clínico para os desafios da residência.
Com o Reta Final R+ de GO, você estuda para os processos seletivos com uma equipe de professores titulados e subespecialistas que sabem exatamente como otimizar seu tempo e te preparar para conquistar a vaga no R+ de GO dos seus sonhos.
Olá! Sou formado em Medicina pela Universidade Federal de Juiz de Fora em Minas Gerais e a minha especialidade é Ginecologia e Obstetrícia. Comecei o R1 em Ginecologia e Obstetrícia em Minas Gerais, mas acabei não me adaptando muito bem e decidi refazer as provas de R1 e refazer o R1 inteiro, fazendo o R1 de Ginecologia e Obstetrícia no Instituto de Assistência Médica ao Servidor Público Estadual (IAMSPE/SP). Alguns dos projetos ao decorrer da minha trajetória estão relacionados a projetos de pesquisa e alguns vários artigos na área de Ginecologia e Obstetrícia. Fora da Medicina, gosto de assistir séries e filmes. Atualmente, estou acompanhando 37 séries (não adianta me perguntar como pois também não sei! hahaha)